Orthodontic treatment involves prevention & correction of misaligned teeth & jaws for good dental health & cosmetic reasons.
Severely misaligned teeth can cause numerous problems likes snoring, sleep apnea & other breathing problems. Besides dental irregularities may cause insecurity & low self esteem, which can affect a person's ability to chew & speak.
Important information
- Visit to an orthodontist should start at age of 7, especially when there is family history of misaligned crooked teeth.
- Orthodontic treatment helps to give better esthetics, & hence self esteem & confidence.
- It helps to provide better function and health of teeth.
- An orthodontist can prevent dental irregularities in children by dental examination before all permanent tooth erupts.
- An orthodontist can treat any deformity / misaligned teeth at an early age, as bones of children are still growing and eruption of permanent teeth is still pending.
- Early treatment can result in smooth and quick correction of misaligned teeth.
- Orthodontic treatment not only straightens your teeth but also helps for maintaining good oral hygiene.
Difference between Braces and Clear Aligner
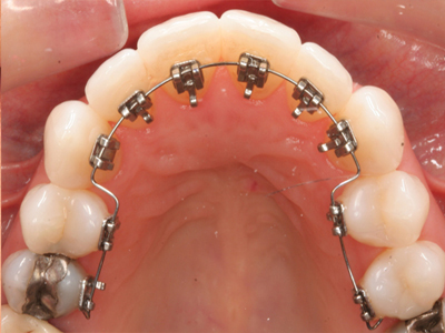
Images of some cases of Orthodontic Treatment


